Dra. Juliana González Gil

Ortopedista y Traumatólogo

¡Reserve una visita! Contactar conmigo

Soy Juliana González Ortopedista de Rodilla, trabajo en la Fundación Cardiointantil / La Cardio, soy apasionada por mi profesión ya que en ella encuentro demasiada versatilidad  que mantiene mi motivación constante para ayudar a mis pacientes con problemas en sus rodillas tendiendo como principio que juntos busquemos la mejor solución y tengamos como propósito lograr una adecuada y satisfactoria Calidad de Vida.

Tengo como objetivo poder disminuir el dolor de diferentes causas en rodilla, estabilizar las rupturas ligamentarias y fracturas, ayudar al retorno de las actividades deportivas y dar recomendaciones especificas sobre la actividad física, siempre ofreciendo tiempo de calidad a mis pacientes y teniendo en cuenta todas las circunstancias y el contexto alrededor de ellos ya que de todos estos factores depende lograr el éxito en el tratamiento

Especialidades

  • Artroscopia
  • Traumatología Deportiva
  • Cirugía de Rodilla

Formación

  • Posgrado - Entrenamiento avanzado en Cirugía de Rodilla Fundación Santa Fe de Bogotá
  • Posgrado en Ortopedia y Traumatología Universidad Nacional de Colombia
  • Pregrado en Medicina Universidad del Rosario
  • Miembro Titular Sociedad Colombiana de Cirugía Ortopedia y Traumatología

Núm. Colegiado

  • 1010200374

Idiomas

  • Español
  • Inglés

Premios y reconocimientos

  • Ganadora de mejor trabajo de investigación concluido en el concurso Premio Nacional de Investigación en Ortopedia y Traumatología Fundación Federico Restrepo Carvajal 2020. Entregado el 26 de marzo de 2021.
  • Primer puesto de trabajo científico libre del 6to simposio internacional de pie y tobillo por el trabajo “Evaluación anatómica cadavérica de los portales de tenoscopia del tendón tibial posterior y el ligamento en resorte y artroscopia de articulación talonavicular”. Cartagena, septiembre 2019.

Publicaciones

  • Ortiz Jorge Rolando, Gonzalez Juliana, Herrera Juan Sebastian. 2023 New advances in Magnetic Resonance Imaging. Cap. Current Topics on Knee MRI. IntechOpen.
  • Luis F. Calixto B, Felipe Camacho, Enrique M, Vergara A, Fernando Torres R, Marco T Mahecha T, Juliana González, Jhonattan Pereira, Jorge Narváez, Raúl Pedreros, Alberto Hoyos. Manejo de pacientes de Ortopedia y Traumatología en el contexto de la contingencia por covid 19: revisión de conceptos actuales revisión de la literatura. Revista Colombiana de Ortopedia y Traumatología. 35, 2021 26-24.
  • Iván Dario González, María Claudia Becerra y Juliana González Gil. Fracturas de cadera: satisfacción posquirúrgica al año en adultos mayores atendidos en Méderi-Hospital Universitario Mayor, Bogotá, D.C. Revista de Ciencias de la Salud. 2016, 14(3):409-22.
  • Línea de investigación actual: Recuperación del cartílago articular en adultos con osteoartrosis de rodilla mediante el uso células mesenquimales derivadas de cordón umbilical: ensayo clínico controlado aleatorizado de desenlaces clínicos y radiológico • Instituto distrital de ciencia, biotecnología e innovación en salud, Secretaría Distrital de Salud, Bogotá – Colombia • Universidad Nacional de Colombia, Facultad de Medicina, Departamento de Cirugía, Unidad de Ortopedia y Traumatología, Bogotá D.C, Colombia

Enfermedades tratadas

  • Artrosis de rodilla
  • Dolor de rodillas
  • Desgarre de meniscos
  • Esguince de rodilla
  • Fractura Patelar
  • Lesión de Ligamento Cruzado Posterior
  • Lesión del Ligamento Cruzado Anterior (LCA)
  • Osteoartritis
  • Lesiones del cartílago articular
  • Deformidades en rodilla

Redes sociales

Reservar cita!

CONSULTA ORTOPEDIA DE RODILLA

Carrera 13b 161-85
110131 Bogotá, Cundinamarca
Llame al especialista

¡Seleccione la fecha apropiada y concierte una cita!

Consultorio virtual (en línea)



Llame al especialista

Precios

Visita Ortopedia y Traumatología 300000 $
Visitas sucesivas Ortopedia y Traumatología 300000 $
Tratamiento quirúrgico de fracturas Sin especificar
Tratamiento ortopédico de fracturas 300000 $
Manejo luxación de rótula Sin especificar
Manejo dolor anterior rodilla 300000 $
Infiltración en rodilla Sin especificar
Control Postquirúrgico Sin especificar
Artroscopia de rodilla Sin especificar
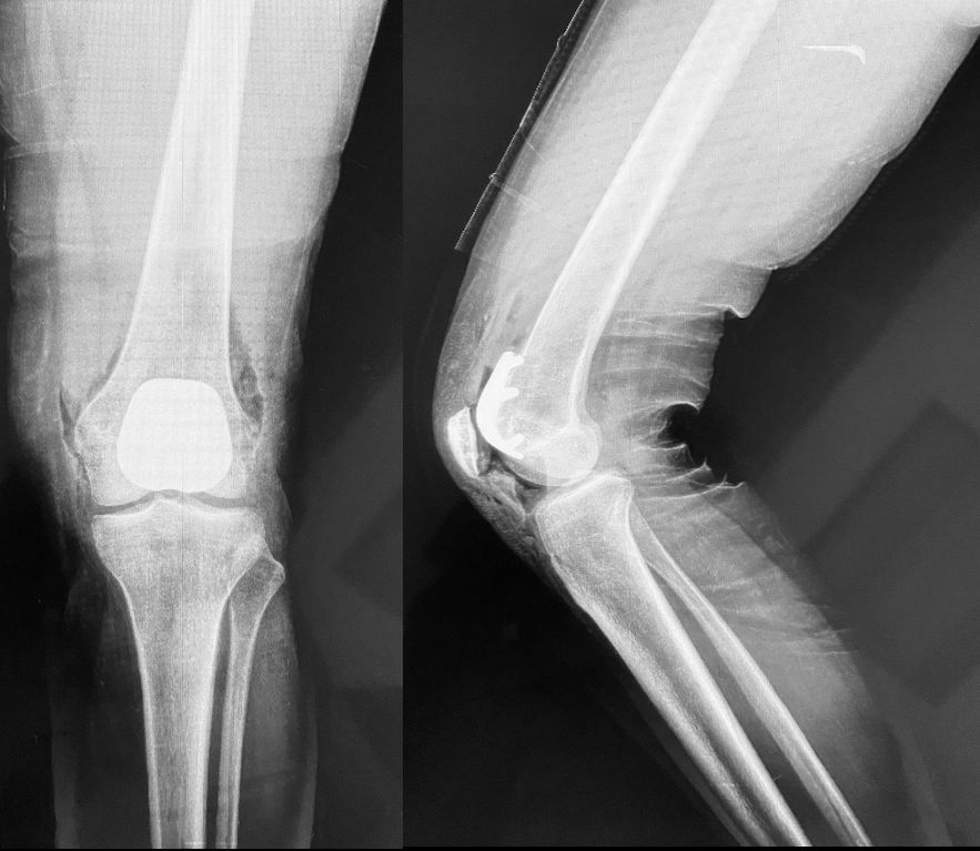
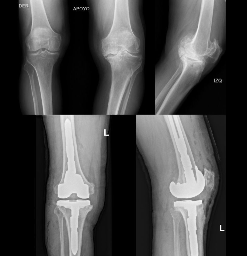
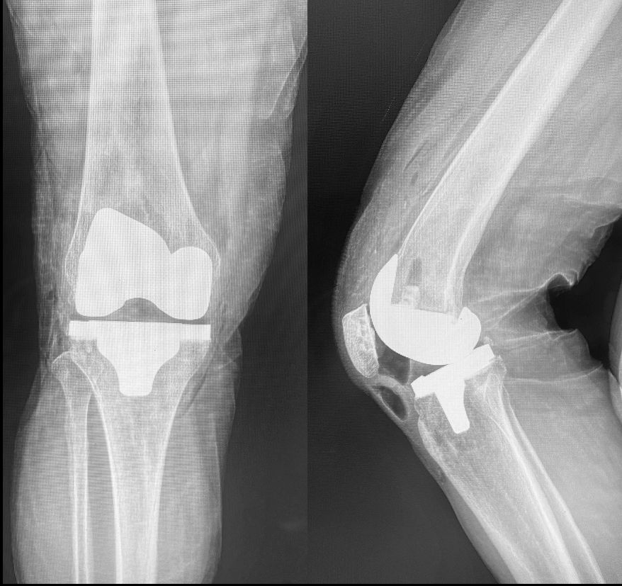
Artroplastia de la rodilla Sin especificar
Tratamiento con Plasma Enriquecido de Plaquetas para tendinopatias y procesos inflamatorios crónicos Sin especificar
Cirugía de ligamento cruzado anterior (LCA) Sin especificar
Consulta en línea 1 $

Opiniones de los pacientes

Excelente, dra. Con gran conocimiento, muy clara en sus conceptos
Paciente
Paciente
Siento su interés real y empático por mejorar mi condición. agradezco su comprención
Paciente
Paciente
Excelente la atención de su parte en todos los aspectos 10 de 10
Paciente
Paciente
Atención cercana y experta, muy agradecido por lo efectivo de mi tratamiento y recuperación
Paciente
Paciente
Es una doctora muy clara con el diagnóstico y el proceso a seguir. Adicionalmente, tuvo un diagnóstico acertado para un dolor que tenía por más de 6 meses, super recomendada. Muy puntual.
Paciente
Paciente
La Dra. Juliana es una excelente Cirujana de rodilla. Desde la primera consulta me sentí escuchada y muy bien orientada. Explica con claridad cada paso del tratamiento y transmite mucha confianza. La recomiendo totalmente.
Paciente
Paciente
La doc juliana me recibió y atendió con empatía frente al dolor por la crondomalacia en la rodilla, luego con la reconstrucción Del tendón rotuliano fue profesional,atenta, preocupada,100% honesta y siempre se puso en mi lugar como paciente entendiendo el dolor y las preocupaciones de un proceso así,tuve dos cirugías con diferencia de dos meses , y al año de la primer cirugía pude hacer un trekking de 22km sin problema gracias a ella, gratitud siempre por ayudarme a volver a la vida y sin dolor
Paciente
Paciente
La doctora Juliana González es una excelente especialista. Me explicó todo con mucha claridad, me hizo sentir confianza y el tratamiento fue muy efectivo. Se nota su profesionalismo y calidad humana.
Paciente
Paciente
Excelente profesional con un carisma y calidez humana excepcional
Paciente
Paciente
Manejo apropiado para el daño de meniscos extruido
Paciente
Paciente
Excelente doctora, explicación detallada haciéndose entender, muy amable, profesional en lo que hace, gracias por su entrega y dedicación.
Paciente
Paciente

¿Quieres reservar una hora?

¡Reserve una visita! Contactar conmigo